
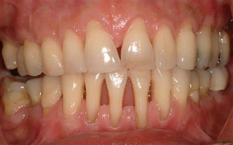
Periodontics is a dental specialty that treats conditions affecting the tissues around the teeth, such as gum disease and bone loss. Periodontists offer a broad spectrum of treatments, including scaling and root planing, during which the infected surface of a tooth’s root is cleaned. They also perform root surface debridement, involving the removal of damaged tissue.

